

按照公司领导班子成员“四下基层”工作安排,5月21—22日,二一四大队党委书记、董事长邓盛波前往汉中片区检查指导工作,二一四大队安全环保部部长董连志、行政部部长李阳陪同检查。 邓盛波一行先后前往物化探院宁强大地质项目部和黄泥坪项目部。...

为推动医院信息化建设、进一步优化医疗服务流程,改善患者全过程就医感受,提升患者的就医获得感和幸福感。5月21日,陕西省核工业二一五医院与中国联通咸阳市分公司举行战略合作签约仪式。二一五医院院长任超杰、副院长鲁彦斌,...

近日,宜威新能源党支部书记、董事长何厚锦一行前往新疆哈密、塔城县域进行实地调研,深入了解新疆各地供暖发展现状、产业政策、投资环境等情况,为宜威新能源未来战略布局、市场开拓提供坚实支撑。 调研期间,何厚锦一行实地考察了新疆哈密农十三师,...

5月15日至16日,二一一大队党委书记、董事长任斌一行到陕西庞家河金矿、矿产勘查院调研指导工作。公司副总经理、总工程师杨帅及相关单位、部门负责人陪同调研。 15日,任斌一行先后对陕西庞家河金矿选厂、一号矿山实地调研,...

近日,二一八大队以其卓越的地质勘查能力和良好的企业信誉,成功通过了2023年度中矿联地质勘查信用信息红名单单位的年检,标志着公司在行业内的领先地位,并且进一步巩固了其作为值得信赖的地质勘查服务提供商的形象。...

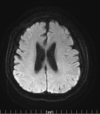
近日,二一五医院神经内科一病区在王建峰主任带领下,顺利完成了医院首例颅内动脉狭窄药球支架 NOVA支架置入术,标志着二一五医院神经介入技术再次实现突破。 近日,65岁的吕大爷突发头晕,随即出现说话含糊不清等症状,...
