

9月16日,中陕核生态环境有限公司副总经理田浩浩一行到江苏省太仓市政府、常熟市虞山高新技术产业开发区开展合作交流。中陕核生态环境有限公司江苏分公司负责人陪同。 在太仓市,副市长倪嘉臻出席座谈交流会,他对中...

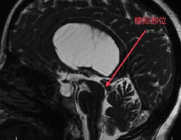
随着神经内镜设备的不断更新和微侵袭技术的快速发展,脑室镜下第三脑室底造瘘术(ETV)优势凸显, 已经成为了梗阻性脑积水的首选。近日,二一五医院神经重症监护室在成功开展脑积水之脑室镜下三脑室底造瘘术后,原有...

9月17日上午,二一五医院核医学科收到一份来自患者和家属的特殊礼物——一块巨大的牌匾上写着“慧眼识病魔,医技高精准”八个大字,作为以诊断为主的医技科室,能得到这样的肯定让科室医护人员倍感鼓舞和感动。 今年...

9月16日,中电建甘肃能源崇信发电有限责任公司副总经理许海明一行到蓝天能源交流洽谈。蓝天能源副总经理康飞及市场部相关人员参加此次座谈。 会上,双方分别介绍了各自企业经营基本情况、发展优势和业务范围等情况,...

近日受低槽东移和副高外围暖湿气流共同影响,凤县出现了入汛以来的第18轮大范围降雨,9月17日,凤县县委常委、宣传部部长宁亚莹带领凤县应急管理局、凤县商务和工业信息化局相关负责人对陕西庞家河金矿有限公司防汛安...

9月14日下午,中陕核生态环境有限公司党委书记、董事长张林一行赴陕西宾馆人工湖生态修复项目进行实地考察,详细了解了项目进展情况和已施工完成区域水体的实施效果情况。 考察期间,张林详细了解了陕西宾馆人工湖生...
