

2月9日上午,建设集团在三楼大会议室召开2023年安全环保工作会暨安委会扩大会议。建设集团党委书记、董事长、安委会主任赵旭军出席会议并讲话,建设集团党委副书记、总经理、安委会主任田野主持会议。 会议传达了赵...

两个多月前,78岁的邓阿姨以“直肠恶性肿瘤”诊断入院,因年龄较大,基础疾病多,并患有胆囊结石,手术复杂且难度较大。普外四科焦英伟主任团队术前多次组织科室探讨治疗方案,并成功行直肠癌根治术+胆囊切除术。术后...

2月10日,置业公司机关党支部组织召开2022年度组织生活会,领导班子成员以普通党员身份参加会议。会议由机关党支部书记肖静媛主持。 会议议程共分为7项,首先集中学习了党的二十大精神,推动学习成果入脑入心、见行...

2月9日上午,雁塔区人社局人才中心支部书记陈凌云一行到工勘院座谈交流,工勘院党委书记、董事长岳荣昌以及党委委员、纪委书记周玲参加会议。 座谈会上,岳荣昌向陈凌云一行表示热烈欢迎,并详细介绍了工勘院基本情...

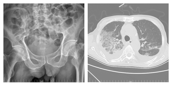
高龄老年人多存在骨质疏松,不慎跌倒骨折后影响行走,长期卧床极易并发肺部感染,如再新冠病毒感染,给治疗带来了巨大挑战。12月初以来,二一五医院骨五科陆续收治了多名骨折合并新冠高龄患者,经全院多科室通力合作...

2月8日至9日,地调院开展了为期两天的项目汇报交流暨技术培训会。地调院全体技术人员参加会议,会议由副总经理王军礼主持。 会议按项目技术交流、项目参与人员交流、专家点评、业务培训四个流程进行,共4个生产单位...
