

颈部是人的第二张“脸”,倘若颈部出现了皱纹或疤痕,往往会让人留下遗憾,对爱美的女性来讲更是如此。 马女士今年40岁,一个多月前,无意间发现自己右侧颈部长有一个鸽子蛋大小的肿块,来到医院检查提示右侧甲状腺约...

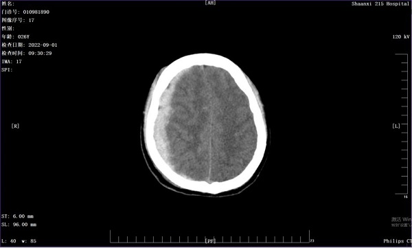
三个月前,26岁的张先生不慎被汽车撞倒,立即陷入昏迷,急诊送入二一五医院救治。入院后CT检查发现,张先生的右侧硬膜下大量出血,诊断为急性右侧硬膜下脑出血伴脑疝形成,病情十分危重。 (入院急诊头颅CT) 对于...

为全面提高二二四大队地质勘查领域技术人员业务水平,进一步了解全国以及西北地区新一轮找矿突破战略行动的工作重点,2月28日,二二四大队举办地质矿产勘查专家讲座与技术研讨会。会议邀请中国地质调查局西安矿产资源...

“这次我竞选的是监理一公司经理的职务…”“如果能当选,我将更加严格要求自己…”“对于如何开展下一步的工作,我有以下几点打算……”2月28日上午,监理公司召开中层干部竞聘大会,参选人员精神饱满的相继上台发表...

2月21日,西安地质矿产勘查开发院党委书记、执行董事黄德强、副总经理李成伟、钻探公司相关负责人一行到二一八大队座谈交流。公司党委委员、副总经理葛建兵、副总经理高创以及相关生产单位负责人参加座谈。 座谈会上...

为指导企业规范建立研发投入会计科目,提升企业研发费用归集能力,规范填报研发统计报表,享受研发费用加计扣除和研发投入奖补政策,公司财务、科技部门相关人员于2023年2月28日上午在二楼会议室参加省工信厅举办的企...
